Jangan Salah! Cara Sikat Gigi yang Keliru Picu Kerusakan Gigi
Menjaga kebersihan gigi adalah bagian penting dari kesehatan sehari-hari. Namun, tanpa disadari, kebiasaan menyikat gigi yang salah justru dapat menimbulkan masalah serius, salah satunya adalah Abrasi Gigi.
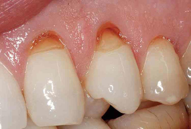
Abrasi gigi terjadi ketika lapisan luar gigi (email) terkikis akibat gesekan berlebihan. Jika tidak ditangani, kondisi ini dapat menyebabkan sensitivitas gigi hingga kerusakan permanen.
Apa Itu Abrasi Gigi?
Abrasi gigi adalah kondisi di mana permukaan gigi mengalami keausan akibat faktor mekanis, seperti gesekan sikat gigi yang terlalu keras atau penggunaan teknik menyikat yang tidak tepat.
Biasanya, abrasi terjadi di area leher gigi dan dapat terlihat seperti cekungan kecil pada permukaan gigi.
Kebiasaan yang Menyebabkan Abrasi Gigi
Beberapa kebiasaan yang sering dilakukan tanpa disadari dapat memicu abrasi gigi, antara lain:
1. Menyikat Gigi Terlalu Keras
Tekanan berlebihan saat menyikat gigi dapat mengikis lapisan email secara perlahan.
2. Menggunakan Sikat Gigi Berbulu Kasar
Sikat gigi dengan bulu yang keras dapat meningkatkan risiko gesekan pada permukaan gigi.
3. Teknik Menyikat yang Salah
Gerakan menyikat horizontal (kiri-kanan) secara kasar dapat mempercepat keausan gigi.
4. Menyikat Gigi Terlalu Sering
Menyikat gigi lebih dari yang dianjurkan tanpa teknik yang benar dapat memperparah kerusakan.
5. Menggunakan Pasta Gigi Abrasif
Beberapa jenis pasta gigi memiliki kandungan abrasif tinggi yang dapat mempercepat pengikisan email.
Gejala Abrasi Gigi
Abrasi gigi sering kali tidak disadari pada tahap awal. Namun, beberapa tanda yang dapat muncul antara lain:
- Gigi terasa ngilu atau sensitif
- Permukaan gigi terlihat terkikis
- Perubahan warna pada bagian tertentu
- Rasa tidak nyaman saat mengonsumsi makanan panas atau dingin
Jika gejala ini muncul, sebaiknya segera dilakukan pemeriksaan.

Cara Mencegah Abrasi Gigi
Mencegah abrasi gigi dapat dilakukan dengan langkah sederhana, seperti:
1. Gunakan Sikat Gigi Berbulu Lembut
Pilih sikat gigi dengan bulu halus untuk mengurangi risiko gesekan berlebih.
2. Terapkan Teknik Menyikat yang Benar
Gunakan gerakan memutar atau vertikal yang lebih lembut dan efektif.
3. Jangan Menyikat Terlalu Kuat
Cukup gunakan tekanan ringan saat menyikat gigi.
4. Pilih Pasta Gigi yang Tepat
Gunakan pasta gigi yang tidak terlalu abrasif dan sesuai kebutuhan.
5. Rutin Periksa ke Dokter Gigi
Pemeriksaan rutin membantu mendeteksi masalah sejak dini.

Pentingnya Edukasi Kesehatan Gigi
Kesalahan kecil dalam kebiasaan sehari-hari dapat berdampak besar pada kesehatan gigi. Oleh karena itu, edukasi mengenai cara menyikat gigi yang benar sangat penting untuk mencegah kerusakan jangka panjang.
Menjaga kesehatan gigi bukan hanya soal kebersihan, tetapi juga tentang teknik yang tepat.
Kesimpulan
Menyikat gigi adalah kebiasaan baik, namun jika dilakukan dengan cara yang salah justru dapat merusak gigi. Abrasi gigi menjadi salah satu dampak yang sering terjadi akibat kesalahan tersebut.
Dengan memahami teknik yang benar dan menjaga kebiasaan yang baik, kesehatan gigi dapat terjaga lebih optimal dalam jangka panjang.